top of page
คลินิกสองคุณหมอจัดฟัน
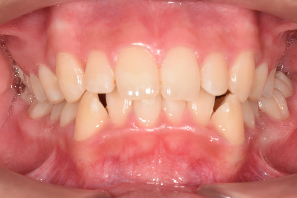
เคสฟันสบลึก
ฟันสบลึก คือ ภาวะที่ฟันบนคร่อมปิดฟันล่างมากเกินไป จนมองไม่เห็นฟันล่างหรือ
ฟันล่างยื่นขึ้นมาสบกระแทกเหงือกที่เพดาน ปัญหานี้แก้ไขได้ด้วยการจัดฟันเพื่อปรับระดับฟันให้เหมาะสม
ช่วยลดโอกาสการสึกของปลายฟัน และทำให้ยิ้มดูสมส่วนเป็นธรรมชาติมากยิ่งขึ้น
ตัวอย่างเคสจริงของทางคลินิก
by MirageSoft-Web


@Songkhunmorjudfun
by MirageSoft-Web


@Songkhunmorjudfun
by MirageSoft-Web


@Songkhunmorjudfun
by MirageSoft-Web


@Songkhunmorjudfun
by MirageSoft-Web


@Songkhunmorjudfun
bottom of page